予防歯科PREVENTIVE DENTISTRY
健康な歯を守るための定期検診の大切さ
いつまでも健康な自分の歯で過ごしたい。誰もがそう思っているはずです。そのためには虫歯が治ったら終わりではなく、その後も積極的に定期検診に通い、お口のメンテナンスをしていきましょう。
歯磨きだけでは取り切れない汚れも、専門的なケアやクリーニングを行って落としていきます。万が一定期検診で虫歯や歯周病が見つかっても、早期発見ができるので、 痛くなってから通院するよりも治療期間が短く済み、治療費がかさんでしまう心配もなくなります。
当院の予防プログラム
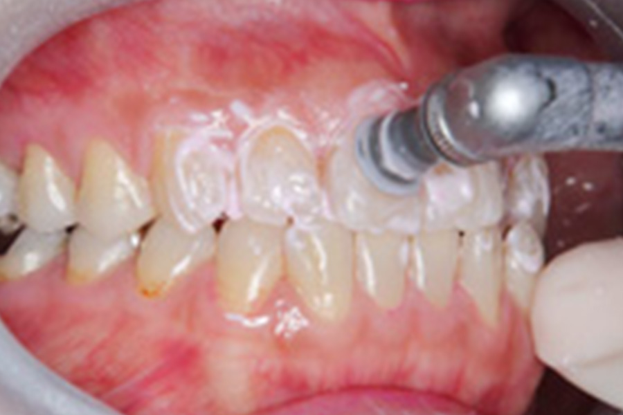
定期的検診・クリーニング
歯の汚れ、虫歯や歯周病の原因となる歯垢・歯石は、ホームケアだけではどうしても取り切れない場合がほとんどです。そのためお口の健康には、専門家による定期的なクリーニングと検診が不可欠です。
定期的にクリーニングに通えば、ご自分の歯の状態を客観的に知ることにもなり、お口のトラブルを未然に防ぐことにも繋がります。
当院では、治療が終了した患者様に対して、3~4ヵ月に1度の定期検診をお勧めしております。いつまでも自分の歯で噛めるよう、しっかりサポートさせていただきます。
歯磨き指導
虫歯や歯周病の原因の多くがブラッシング不足です。毎日歯磨きをしているのに、虫歯になってしまう方は、しっかり磨けているつもりでも磨き残しがあると考えられます。
当院では、患者様お一人お一人のお口の状態や歯並びに合わせた歯磨き指導を行っています。ご希望の方はスタッフまでお気軽にご相談ください。
PMTC
PMTCはProfessional(専門家が) Mechanical(専用の機械で) Tooth(歯面を) Cleaning(クリーニングする)の頭文字をとっています。毎日隅々まで磨いている歯にも、取り切れていないバイ菌・バイオフィルム・歯垢・たばこのヤニなどが付着しています。これらの頑固な汚れを専用の機械で徹底的に落としていくのが「PMTC」です。
PMTCでは、治療のような痛みを感じることはございません。歯の表面がつるつるになり、とてもお口の中がさっぱりします。正しいセルフケアにプラスして、定期的に是非受診してください。
